The Incredible Ceramic Braces: Pros & Cons
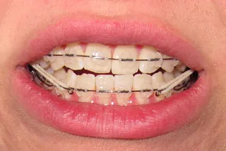
The arrival of clear braces was a big step in the direction of aesthetic treatment options when compared to metal braces. The idea that you could create a beautiful smile without a mouth full of metal was completely revolutionary in the field of orthodontics. However, as great as this option has been for the aesthetically conscious consumer, it is important to highlight some of the limitations of ceramic brackets. For one, ceramic brackets can become stained or yellowed over time.
On a microscopic level, there are small pits in the ceramic material itself that over time can lead to mild staining of the brackets. However, with the high-quality ceramic materials that we offer with anti-staining properties, it is more commonly the elastic ties that hold the wire into the bracket that stain.
What types of foods cause staining of Clear Braces?
Staining can be particularly prevalent depending on the type of food and beverages you consume. Coffee, tea, wine, beets, and other darkly pigmented foods and liquids can lead to increased staining of the elastic ties. In addition, the number one cause of staining is actually smoking. So with proper cleaning, attention to diet, and regular orthodontic visits, most of the staining can be managed.
Check out this YouTuber explain an easy way to keep your Clear Braces looking fresh and white.
Other Braces Options
However, if the idea of staining is a major no-no for you, don’t despair! With further advances in technology and the invention of clear aligners, many of these staining issues are no longer a problem! With clear aligners such as Invisalign, although they are made of a plastic that can potentially stain over longer periods of time, there are two main advantages that differentiate it from ceramic brackets:
- When eating and drinking colored liquids, you remove the aligners from your mouth, which means no staining of the trays!
- Depending on your treatment plan, you will be changing your aligners every week or two weeks. This means you receive a brand new set of clear trays every week or two!
Contact NCOSO to Start Orthodontic Treatment Today
So if you’re looking for a straighter, brighter, healthier smile, but are concerned about the aesthetics of the braces themselves, clear aligners could be a great alternative for you. To find out more about Invisalign and how we can make it work for you, please call 833-GO-NCOSO or book your free consultation online now!

